- Publicaciones
- Visitas: 18272
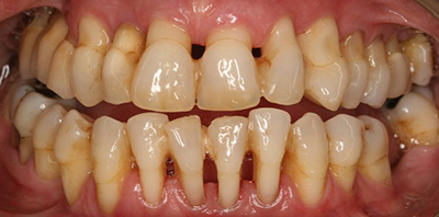
Enfermedad Periodontal: El Enemigo Oculto
La causa más frecuente en el mundo de pérdida de dientes en la persona adulta es la llamada Enfermedad Periodontal o Periodontitis Crónica. Se trata de una enfermedad de origen infeccioso, que se inicia desde muy temprano (hacia los veinte años de edad o menos), y que va evolucionando a través de los años produciendo daños irreversibles en los tejidos de soporte del diente o sea el hueso que rodea la raíz.
